Kidney Cancer
Kidney Cancer: Understanding a Growing Health Challenge
Kidney cancer is becoming increasingly common in Europe, with about 136,000 new cases diagnosed each year. While this number is alarming, understanding the disease and its modern treatment options can help patients make informed decisions about their care.
Our kidneys are two fist-sized organs located on either side of our spine, just below the rib cage. They play a vital role in our body, filtering waste from our blood, controlling blood pressure, and helping produce red blood cells.
When kidney cancer develops, it usually starts in the cells lining the small tubes within the kidney.

Left: Healthy kidney, right: kidney with tumour. Icons created in BioRender.com
One of the challenges with kidney cancer is that it rarely causes symptoms in its early stages. This is why many cases are discovered accidentally during scans or tests done for other reasons. When symptoms do appear, they might include blood in urine, persistent pain in the side, a lump in the abdomen, unexplained weight loss, or tiredness. However, these symptoms can also be caused by other, less serious conditions.
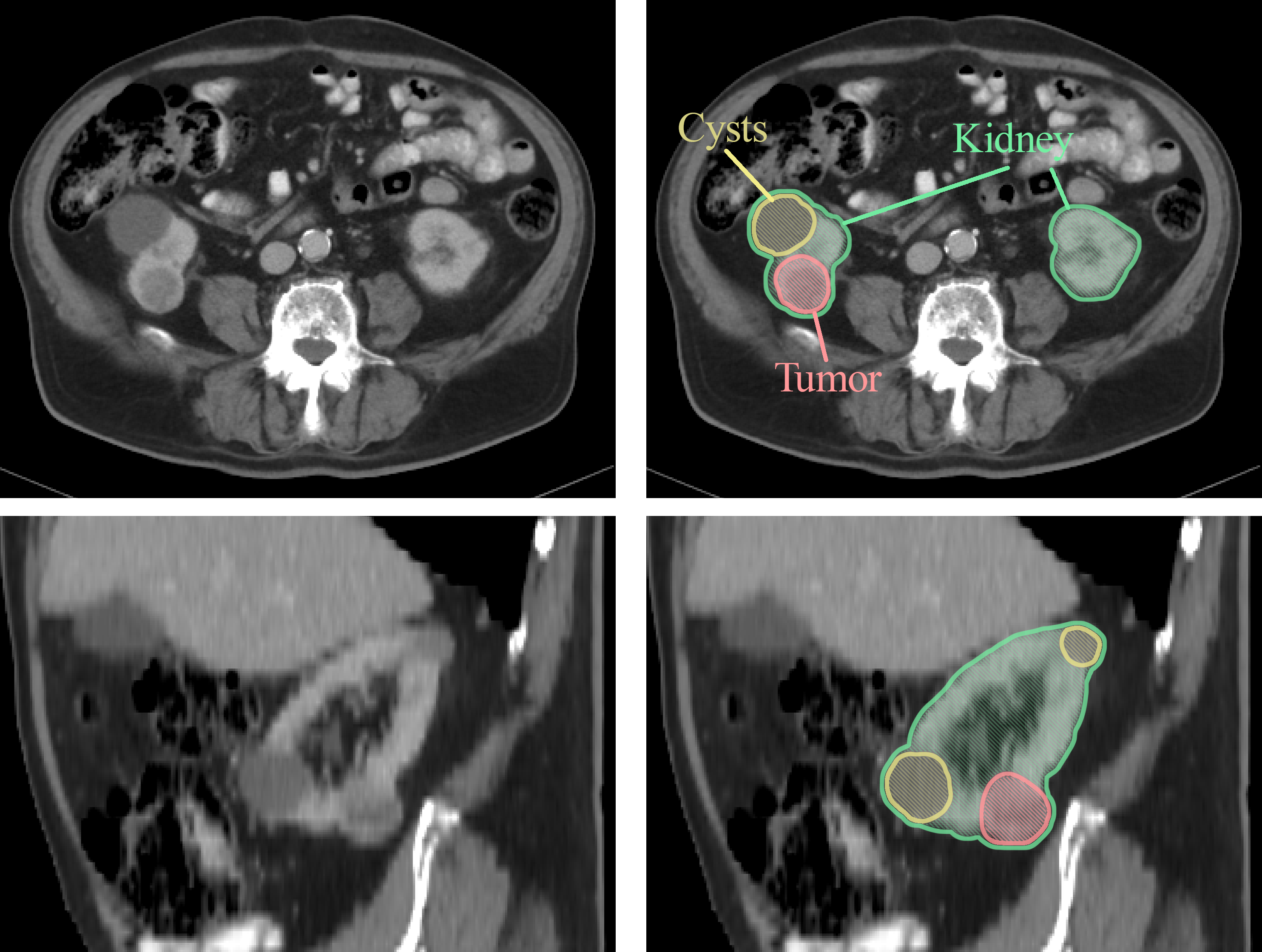
Currently, doctors mainly rely on imaging tests like CT scans and MRIs to diagnose kidney cancer. These scans help determine if a suspicious area is indeed cancer and whether it has spread beyond the kidney. However, even with modern imaging, it can sometimes be difficult to tell whether a kidney tumour is cancerous or benign (non-cancerous). In fact, studies show that about 10-15% of kidney masses removed during surgery turn out to be non-cancerous.

CT scan and MRI image of kidney
Treatment options depend on several factors, including the size and location of the tumour, whether it has spread, and the patient's overall health. For smaller tumours, surgeons can often remove just the tumour while preserving the rest of the kidney (partial nephrectomy). Larger tumours might require removal of the entire kidney (radical nephrectomy). Fortunately, humans can live normally with just one kidney. In some cases, especially for smaller tumours or in patients who cannot undergo surgery, other treatments like targeted therapy or immunotherapy might be recommended.
When kidney cancer is found early, the outlook is excellent, with a 93% five-year survival rate for a localised disease. However, if the cancer is found at a later stage, treatment becomes more challenging, highlighting the importance of early detection.
With the COMFORT project, we are working to develop artificial intelligence tools that can help doctors better distinguish between cancerous and non-cancerous kidney tumours, potentially avoiding unnecessary surgeries and ensuring patients receive the most appropriate treatment for their specific situation. These advances could help reduce the current challenges in kidney cancer diagnosis and treatment planning, ultimately leading to better outcomes for patients.